Immer mehr Kinder betroffenZahnärzte warnen vor Volkskrankheit „Kreidezähne“

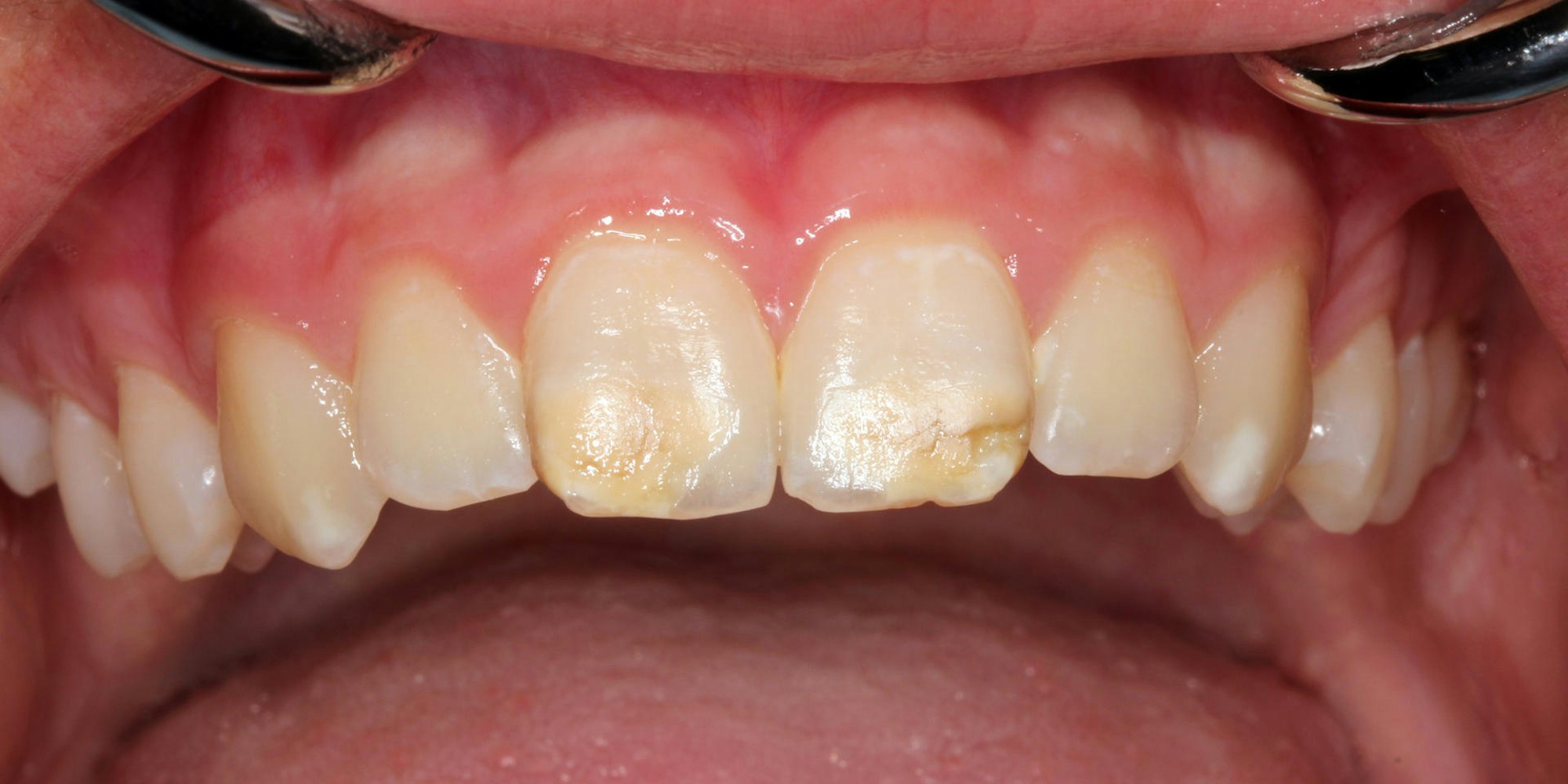
Die sogenannten Kreidezähne haben eine raue Oberfläche und sind zerfurcht - was Karies fördert.
Copyright: Prof. Dr. Norbert Krämer/dpa
Berlin – Zahnärzte warnen vor sogenannten Kreidezähnen bei Kindern. Bei dieser Erkrankung reagieren Backenzähne, aber auch Frontzähne, empfindlich auf Hitze, Kälte oder chemische Reize. Die Zähne haben dabei eine raue Oberfläche und sind zerfurcht - was Karies fördert, berichteten Zahnmediziner am Donnerstag in Berlin.
Die Kinder hätten Schmerzen beim Trinken, Essen und Zähneputzen. Ursache seien Störungen in der Mineralisation des Zahnschmelzes, erläuterte die Deutsche Gesellschaft für Zahn-, Mund- und Kieferheilkunde. Wichtig sei ein rascher Zahnarztbesuch.
10 bis 15 Prozent der Kinder leiden unter „Kreidezähnen“
Nach Angaben des Präsidenten der Deutschen Gesellschaft für Kinderzahnheilkunde, Norbert Krämer, leiden im Schnitt etwa 10 bis 15 Prozent der Kinder an Kreidezähnen. Eine neue Studie habe sogar bei 30 Prozent der unter Zwölfjährigen Kreidezähne nachgewiesen.
Kreidezähne müssten daher als neue Volkskrankheit bezeichnet werden, sagte Krämer. Die Krankheit, Molare-Inzisive-Hypomineralisation (MIH), sei erstmals 1987 beschrieben worden.
Ursachen für „Kreidezähne“ noch ungeklärt
Erste Zahnschäden wurden den Ärzteverbänden zufolge schon bei Ungeborenen im achten Schwangerschaftsmonat registriert. Derzeit werden verschiedene Ursachen diskutiert. In Frage kämen Probleme während der Schwangerschaft, Infektionskrankheiten, Antibiotikagaben, Windpocken, Einflüsse durch Dioxine sowie Erkrankungen der oberen Luftwege.
In Tierversuchen sei ein Zusammenhang zwischen dem Weichmacher Bisphenol-A und Kreidezähnen nachgewiesen worden. Die präzise Ursache gelte als ungeklärt, schreiben die Verbände.
Das könnte Sie auch interessieren:
So sehen „Kreidezähne“ aus
Die weiß-gelblich bis gelb-braune Oberfläche sei auf einzelnen Zahnhöckern zu finden oder auf der gesamten Oberfläche des Zahnes. Die Zähne brechen teilweise. Regelmäßige Zahnarztbesuche, das Putzen mit fluoridhaltiger Zahnpasta daheim, Flouridlack-Behandlungen beim Arzt und der Aufbau abgebrochener Zähne könnten helfen, diese zu erhalten, sagte Stefan Zimmer, Präsident der Deutschen Gesellschaft für Präventivzahnmedizin. (dpa)



