Zahnärztin im Interview„Jedes dritte Kind in meiner Praxis hat Kreidezähne"

Zahnärzte sehen bei Kindern immer häufiger sogenannte Kreidezähne und rätseln bislang über die Ursachen.
Copyright: Prof. Norbert Krämer
- Immer mehr Kinder leider unter der neuen Volkskrankheit Kreidezähne, die Ursache ist noch ungeklärt.
- Eine Kölner Zahnärztin hat mit einer eigenen Studie zu den Ursachen begonnen.
- Sie glaubt nicht, dass Weichmacher die Ursache für Kreidezähne sind.
Köln – Eltern von kleinen Kindern sind zunehmend besorgt, denn seit einiger Zeit kursiert das Wissen um eine Krankheit mit dem furchteinflößenden Namen „Kreidezähne“. Eine Studie aus dem letzten Jahr nennt die Zahnschmelzbildungsstörung gar eine neue Volkskrankheit. Auch die Zahnärztin Dr. Anne Hausmann kennt aus ihrer Praxis viele Kinder, die darunter leiden, sie machen rund 30 Prozent ihrer jungen Patienten aus.
Das beunruhigende an Kreidezähnen: Die Ursache ist noch ungeklärt
Das beunruhigende an der Krankheit: Die präzise Ursache gilt als ungeklärt. Derzeit werden verschiedene Ursachen diskutiert. In Frage kommen Probleme während der Schwangerschaft, Infektionskrankheiten, Antibiotikagaben, Windpocken, Einflüsse durch Dioxine sowie Erkrankungen der oberen Luftwege. In Tierversuchen sei ein Zusammenhang zwischen dem Weichmacher Bisphenol-A und Kreidezähnen nachgewiesen worden. Das Bundesamt für Risikobewertung hält diesen Zusammenhang allerdings nicht für gegeben.
Zahnärztin aus Köln hat eigene Studie begonnen

Die Kölner Zahnärztin Dr. Anne Hausmann behandelt in ihrer Praxis viele Kinder.
Copyright: Karin Maigut; Maigut Fotografie
Weil die Kölner Zahnärztin in ihrer täglichen Arbeit sieht, wie viele Kinder von Kreidezähnen betroffen sind und die Wissenschaft aktuell noch keine Antworten liefert, hat sie selbst mit einer kleinen Studie begonnen, um den Ursachen auf den Grund zu gehen. Wir haben mit ihr darüber gesprochen.
Was versteht man unter Kreidezähnen genau?
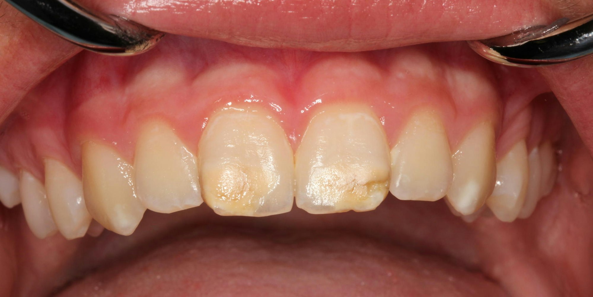
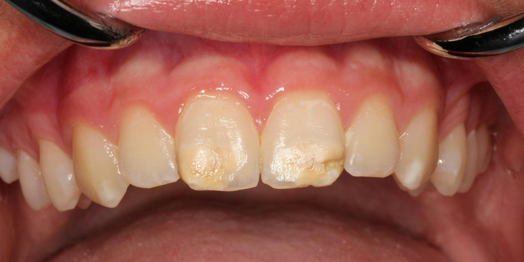
Dr. Anne Hausmann: Kreidezähne (fachlich korrekt „Molaren-Inzisiven-Hypomineralisation“, abgekürzt MIH) sind Zähne, welche von Beginn an einen schlecht mineralisierten Zahnschmelz haben. Das heißt, der Zahn bricht gerade durchs Zahnfleisch durch und sieht schon verändert aus. Viele Eltern denken, er sei kariös.
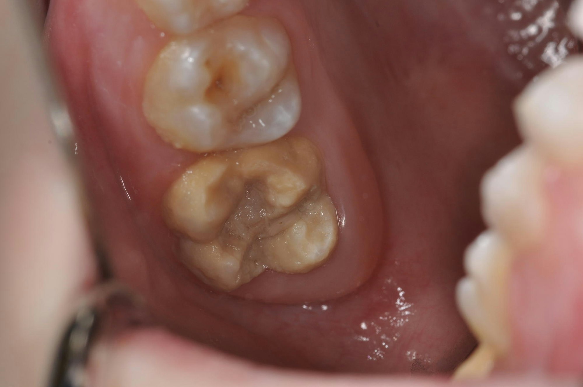
Bei Kreidezähnen ist der Zahnschmelz sowohl farblich (kreideweiß bis gelb-braun) als auch von der Struktur (brüchiger) verändert. Meistens sind die mittleren vorderen Oberkieferzähne und/oder die ersten bleibenden Backenzähne betroffen.

Kreidezähne sind eine Zahnschmelzbildungsstörung. Zahnärzte sprechen von einer neuen Volkskrankheit bei Kindern.
Copyright: Prof. Norbert Krämer
Prinzipiell kann es aber alle Zähne treffen, Milch- sowie bleibende Zähne. Manchmal wirkt es sich nur auf einen Zahn im gesamten Gebiss aus, manchmal auf fast alle. Man teilt mittlerweile in vier Schweregrade ein. Grad 1 ist nur eine farbliche Veränderung, bei Grad 4 kommen Schmerzen und Frakturen des Zahnschmelzes dazu.
Eine Studie der Deutschen Gesellschaft für Zahn- Mund- und Kieferheilkunde aus dem Jahr 2018 hat Kreidezähne als neue Volkskrankheit bezeichnet. Angeblich leiden 10 bis 15 Prozent der Kinder darunter und bei den Zwölfjährigen sogar jedes dritte Kind. Wie sind Ihre Erfahrungen aus Ihrer Praxis? Können Sie die Zahlen bestätigen?
Hausmann: Diese Zahlen kann ich bestätigen. Die jetzt Zwölfjährigen und jüngeren Patienten in meiner Praxis sind ungefähr zu 30 Prozent betroffen. Meistens ist der Schweregrad glücklicherweise aber sehr gering.
Das könnte Sie auch interessieren:
Ich schätze, dass nur drei bis fünf Prozent meiner Patienten dieser Altersgruppe unter einer schweren und behandlungsbedürftigen Form der MIH leiden. Dennoch sind Häufigkeit und Schweregrad deutlich zunehmend.
Wissenschaftlich konnte bisher keine Ursache für die Entstehung der Kreidezähne gefunden werden. Weichmacher in Plastik stehen in Verdacht ursächlich zu sein. Haben Sie dazu bereits eigene Erkenntnisse?
Hausmann: Bisher sind die Ursachen ungeklärt. Die Bisphenol-A-Theorie stammt aus Tierversuchen: Man beobachtete, dass Ratten unter Bisphenol-A-Einfluss ebenfalls Veränderungen am Zahnschmelz bekamen. Allerdings waren diese Veränderungen des Schmelzes reversibel, das heißt sie gingen nach ein paar Wochen wieder weg, was bei echten Kreidezähnen am Menschen nicht der Fall ist.
Auch dagegen spricht: Heutztage verkaufte Nuckelflaschen, Schnuller und so weiter sind fast immer BPA-frei (zumindest in Deutschland). Vor einigen Jahrzehnten war dies nicht der Fall. Andere Theorien glauben an Sauerstoffmangel unter der Geburt, was ich für unwahrscheinlich halte, da dies heute nicht häufiger als früher der Fall ist – Kreidezähne trifft man bei Patienten über 40 Jahren allerdings fast nie an.
Wenn Sie mich fragen, denke ich, dass es entweder an neueren Umweltgiften liegt, die früher in viel geringeren Mengen vorhanden waren oder an dem Konsum von Arzneimitteln in der frühen Kindheit. Wahrscheinlich sind die Ursachen multifaktoriell und nur wenn bestimmte Dinge zusammenkommen, entstehen die Schmelzschäden.
Interessant ist, dass ich viele Geschwisterkinder in meiner Praxis habe, ein Kind ist betroffen, die anderen Geschwister nicht. Sogar Zwillinge habe ich in meiner Praxis, bei denen ein Zwilling betroffen ist, der andere Zwilling nicht. Auch das spricht eher gegen die Bisphenol-A-Theorie, da beide Zwillingskinder gleich ernährt wurden und aufgewachsen sind.
Wie kann man Kreidezähne behandeln? Was müssen Eltern beachten, wenn ihre Kinder daran erkrankt sind?
Hausmann: Die Therapie richtet sich nach dem Schweregrad. Oft ist keine Therapie nötig. Bei Schwergrad Stufe 1 reicht regelmäßige Fluoridierung, insbesondere die Verwendung fluoridhaltiger Zahnpasta. Außerdem sind engmaschige Kontrollen beim Zahnarzt sinnvoll, da die Zähne viel kariesanfälliger sind als Zähne mit natürlich hartem Zahnschmelz. Bei höheren Schweregraden reichen die Therapien von Füllungen über Kronen bis manchmal sogar hin zur frühzeitigen Zahnentfernung.
Leiden Kinder unter weiteren Problemen, wenn Kreidezähne nicht oder nicht richtig behandelt werden?Hausmann: Ja, bei Nichtbehandlung höherer Schweregrade leiden die Kinder unter Schmerzen. Die Kinder können nicht richtig auf den betroffenen Zähnen kauen, empfinden Schmerzen bei kalten Speisen und Getränken, selbst das Zähneputzen wird aus Schmerzgründen verweigert.
Was können Eltern tun, um Kreidezähnen vorzubeugen? Was sind Ihre Tipps?Hausmann: Da die Ursachen nicht bekannt sind, kann ich leider bisher keine Empfehlungen zur Prävention geben.
Frau Dr. Hausmann, vielen Dank für das Gespräch.



